About quiz |
Top scores |
Edit quiz |
Delete Quiz
Click on:
Score: -/
-
Remaining questions: -
Time taken: 0
text
You clicked on: -
The correct answer is highlighted in red. (If you can't see it, try dragging this dialog box, or scrolling the window.)
Created by: #ANON#
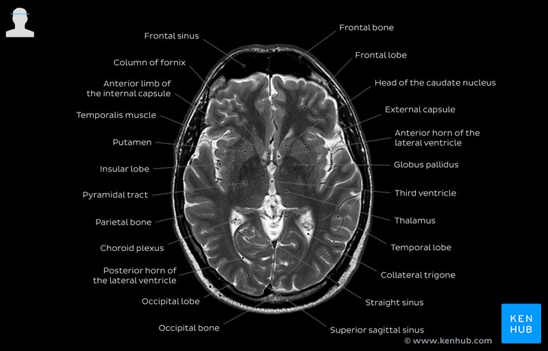
Description: ct brain labeled
Are you sure?