ImageQuiz
BETA
home
about & FAQ
all quizzes
random quiz
create new
requests
signup
login
all tags
top tags:
Biology
Computers
Geography
History
Languages
Math
Physics
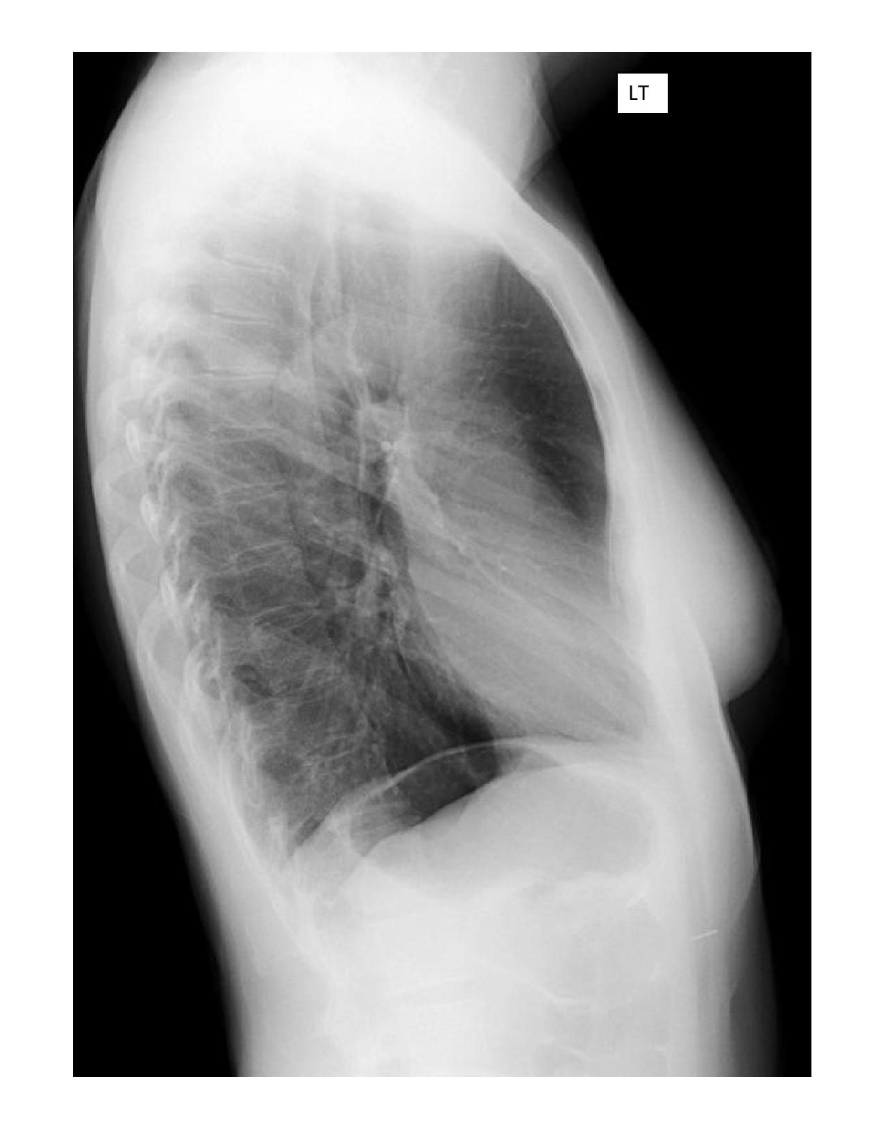
Lateral Chest
About quiz
|
Top scores
|
Edit quiz
|
Delete Quiz
Click on:
Start
Score:
-
/
-
Remaining questions:
-
Time taken:
0
text
text
You clicked on:
-
The correct answer is highlighted in red. (If you can't see it, try dragging this dialog box, or scrolling the window.)
Next question
Created by:
NaLtay0918
Description: Lateral chest
Ok
Are you sure?
Yes
No